近日,普外科程明主任团队成功实施一例高难度的腹腔镜下结肠癌根治术同期肝癌切除术,为一名78岁老人切除右半结肠及5cm的肝脏肿瘤,帮患者赢得生的希望。
危,78岁老人结肠癌转移到肝脏
78岁的徐奶奶,16个月前开始阵发性出现腹痛、腹胀的症状,进食后痛感加重,肛门停止排气排便,近半年反复多次在外院住院。外院诊断考虑为粘连性肠梗阻,当时医生给予营养支持、胃肠减压、清洁灌肠等对症治疗,症状有所缓解。
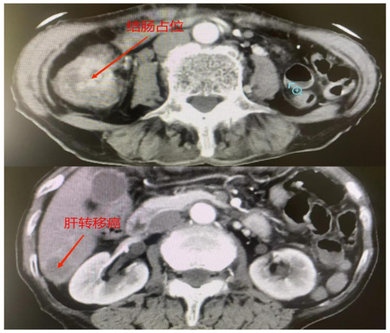
但是近1月以来,徐奶奶的腹痛、腹胀越来越严重,于是在家人的陪同下她来到深圳恒生医院希望得到进一步治疗。入住消化内科后医生给她做了肠镜+CT检查,发现患者不仅结肠癌已经到了晚期,还出现肝脏转移瘤。征得患者及家属同意后,转普外科手术治疗。

(患者CT情况)
“结肠癌因为它发展的特点,非常容易出现肝转移,而肝转移正是结肠癌患者最常见的死因。” 普外科程明主任介绍道。
面对患者的检查结果,程明主任明白,光完成结肠癌手术是不够的,必须要同时完成肝转移癌手术,才有希望挽救患者的生命。经过院内MDT讨论后,制定了手术方案。
稳,普外科顺利完成高难度手术
在腔镜下同时完成结肠癌根治术和肝转移癌切除术,对医生来说无疑是巨大的挑战。
难点一:虽然患者肝转移癌集中在肝右叶S6段,但这个位置位于肝脏隔膜面深部,暴露困难,腹腔手术操作空间小;
难点二:部分转移灶很深,肝脏切除范围会超出S6段,增加了手术难度;
难点三:同时完成结肠癌和肝转移癌切除手术,相当于一次性完成两台四级手术,手术难度非常高。
经过MDT讨论深入评估了患者的病情,普外科程明主任团队判断患者切除肝脏后剩余肝脏能够满足生命需要,决定接受这次挑战。


(程明主任腹腔镜手术中)
7月14日,在一切准备周全的情况下,程明主任带领团队在腹腔镜下小心谨慎地完成了“腹腔镜结肠癌根治术+肝癌切除术”。手术经历3个半小时,术后患者安全返回病房。
考虑到徐奶奶年龄较大,加上长期肠梗阻导致营养状况欠佳,医护团队精心为她制定了术后治疗和护理方案。术后7天,患者逐渐可以自行进食,而且身体状况也越来越好,最终术后第14天顺利出院。
医生:结肠癌转移到肝脏,并非“不治之症”
程明主任介绍,结肠癌肝转移并非不可治疗,部分最初肝转移灶无法切除的患者经转化治疗后仍可通过手术切除肝转移病灶,很多结肠癌肝转移患者仍可以获得长期的生存。
“传统观念将结肠癌肝转移称做癌症晚期,然而国内外的很多临床实践表明,相对其他消化道肿瘤发生肝转移后术后效果差或根本无法手术的情况,外科手术是结肠癌肝转移患者可能获得长期生存的确定性手段。医学界普遍认为结肠癌肝转移的患者只要能同时切除原发病灶和肝转移病灶,往往能取得较好的效果。”
因此,他建议,肠癌肝转移的患者不要轻易放弃,目前外科手术加上转化治疗、介入治疗以及多学科联合治疗等手段,能为结肠癌肝转移的患者带来更多希望。
来源:深圳恒生医院
编辑:曾美媛